![Revenaz white[79]](https://www.angelaligner.com/wp-content/uploads/2026/03/Revenaz-white79-e1772705276611.jpg)
Angel Aligner KiD: Clear Aligners for Interceptive Orthodontic Treatment
By Dr. Mercedes Revenaz
DMD, MS, Orthodontic Specialist
Dr. Mercedes Revenaz
Mercedes Revenaz has been dedicating her career as a specialist in orthodontics, focusing on the prevention, diagnosis, and treatment of dental malocclusions and related disorders for over 25 years. Her mission consists to offer growing and adults patients top-notch treatments through state-of-the-art technology. She achieved her DDS at the University of Ferrara in 1999, after which she further gained her post-graduate degree in Orthodontics at the University La Sapienza of Rome in 2003. Afterwards, she completed her educational career and training through several ongoing university programs and valuable private courses. Her interest in 3D innovation for diagnosis and treatment planning led her to pursue advanced technological approaches, initially in the field of orthognathic surgery and subsequently in orthodontics.
Patient introduction
Age: 8 years and 6 months
Gender: Female
Treatment time: 8 months
Number of aligners: 30 (20+10)
Chief complaint: The patient was concerned about her front teeth being misaligned, particularly the anterior crossbite, and the crowding in her smile.
She and her parents were aware that this bite was not functional and could affect chewing and jaw development. They were motivated by aesthetic concerns and preferred a treatment that would be comfortable, discreet, and convenient, allowing her teeth to align naturally without the appearance of traditional braces..
Section: Crowding
Product: KiD1
Malocclusion: Mixed dentition, Class I Angle’s classification, Anterior Crossbite
Protocoles and features: Arch expansion
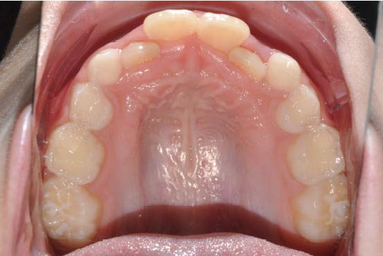
Initial Photos and datas












Clinical examination and diagnosis
The patient presented with a skeletal Class I relationship and a mesofacial growth pattern, indicating balanced sagittal and vertical skeletal proportions. Dental examination revealed a Class I molar and canine relationship bilaterally. The patient was in the mixed dentition phase. Significant dental crowding was observed in both arches, consistent with a dentoalveolar discrepancy. Midline deviations were present, affecting dental symmetry and occlusal harmony. The maxillary lateral incisors were in crossbite, contributing to anterior transverse discrepancy and functional imbalance.
Periodontal evaluation revealed early signs of periodontal disease, primarily affecting tooth 41. Radiographic assessment demonstrated root convergence of teeth 11 and 21, indicating compromised root parallelism. Overall, the initial presentation was characterized by dentoalveolar crowding, transverse discrepancies, occlusal asymmetries, and early periodontal involvement within an otherwise favorable skeletal framework, requiring a carefully planned orthodontic approach to ensure functional stability and periodontal preservation.
Treatment plan
The orthodontic treatment plan was designed to address dentoalveolar crowding, transverse discrepancies, and midline deviations, while maintaining optimal periodontal health and achieving stable Class I molar and canine relationships. Specific objectives included correction of anterior crossbite, expansion and coordination of the arches, derotation of upper molars, preservation of incisor inclinations, derotation of lower posterior teeth with lingual root torque, leveling of the curve of Spee through incisor intrusion and controlled extrusion of deciduous teeth, and normalization of incisor inclinations. A clear aligner–based approach was selected to allow precise, controlled tooth movement, with particular
attention to root parallelism in the anterior region. The treatment was carried out in two phases: an initial phase of 20 aligners focused on primary alignment, space redistribution, and preliminary correction of malocclusion, followed by a refinement phase of 10 aligners aimed at finalizing tooth positioning, improving intercuspation, optimizing overbite and overjet, and enhancing overall occlusal stability. The refinement phase was considered an integral component of the treatment strategy and is explicitly highlighted to emphasize its role in achieving optimal finishing and long-term functional and aesthetic outcomes.
Treatment details
To correct the anterior crossbite, occlusal pads were placed on teeth 36 and 46 to provide localized bite opening and facilitate proper anterior guidance. Optimized double semielipsoidal attachments were placed on the upper anterior teeth to ensure controlled root divergence and precise torque expression. Posterior teeth received lingual root torque to maintain proper axial inclinations, while interproximal reduction (IPR) was performed on deciduous teeth to create space as needed, carefully avoiding any proclination of the lower incisors.
Treatment setup



Treatment progress












Download the full case to see the treatment results, the conclusion and get more details on the solution
To download this report, you agree to subscribe to the Angel Aligner newsletter. You can unsubscribe at any time in your settings centre.