Correction of mandibular retrusion in growing patients with A6 mandibular advancement

By Dr. Giacomo Scuzzo

Dr Giacomo Scuzzo

Degree in Dentistry and Dental Prosthetics from the European University of Madrid (Spain).
Specialised in Orthodontics at the University of Ferrara (Italy).
Scholarship holder in Digital Orthodontics at the Postgraduate in Orthodontics, University of Ferrara (Italy).
Orthodontic Masters in Tweed, MBT, Bi-Dimensional and Damon technique.

Professional activity exclusively in Aesthetic Orthodontics, with special interest in Lingual Orthodontics and Aligners.

Dr. Scuzzo has spoken and published in Italy and abroad on Lingual Orthodontics, Aligners and Hybrid Techniques.

Academic Positions:

  • Adjunct Professor in Digital Orthodontics at the Postgraduate in Orthodontics, University of Ferrara (Italy)
  • Adjunct Professor in Lingual Orthodontics at the Postgraduate in Orthodontics, University of Ferrara (Italy)
  • Adjunct Professor in Lingual Orthodontics at the Master in Orthodontics, University of Salamanca (Spain)
  • Adjunct Professor in Lingual Orthodontics at the Postgraduate in Orthodontics, University of Turin (Italy)
  • Clinical Instructor at the Master in Lingual Orthodontics of the Complutense University of Madrid (Spain)

Professional Memberships and Roles:

  • President of the Italian Society of Lingual Orthodontics (AIOL)
  • KOL & Official Speaker for AngelAligner
  • Active Member of the World Society of Lingual Orthodontics (WSLO)
  • Active Member of the Italian Lingual Orthodontics Society (AIOL)
  • Member of the Italian Academy of Orthodontics (AIDOR)

Patient introduction

Age: 10 years old

Gender: Male

Treatment time: 9 months

Number of aligners: 25

Chief complaint: Dental spaces, Teeth forward, Incompetent lips

Section Class II division 1 malocclusion

Product KiD1

Malocclusion A6 Correction of Mandibular Retrusion in Growth phase patient | Skeletal Class II | Class II Division 1 malocclusion | Deep bite | Mixed dentition

Protocoles and features A6 Mandibular advancement

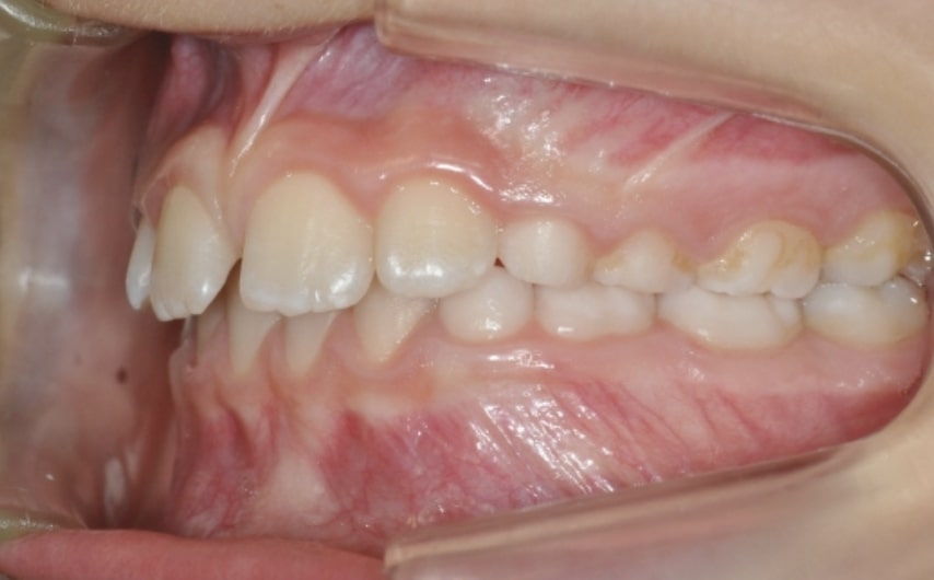
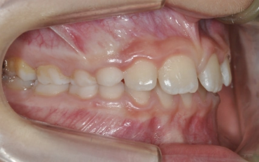
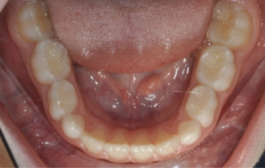
Initial Photos and datas

Clinical examination and diagnosis

FUNCTIONAL: Suction of the lower lip and Labial incompetence.

FACIAL: class 2 profile with Lower jaw deficit

SOFT TISSUES ANALYSIS: Upper Frenulum with low insertion

SKELETAL PATERN: Class 2

DENTAL:

  • Molar and Canine class 2 on the right side – Molar and Canine clss 1 on the left side
  • Upper diastema (11-21)
  • Increased Overjet
  • DeepBite
  • Reduced Transversal Diameters
  • Deviated Lower Midline 2 mm to the Right
Treatment plan

Step 1:

  • Upper Archform enlargement (dental expansion)
  • Normalize Overjet/Overbite (Lower Posterior Extrusion)
  • Alignment/Leveling Both Arches

Step 2:

  • Mandibular Advancement (A6 protocol) + angelBuon for Class 2 Elastics (Night Time)
Treatment details

AngelAligner KiD 1 (aligners changed every 10 days)

  • Upper frenulum surgery
  • Class 1 both sides
  • Overjet/Overbite Correction

Treatment setup

Treatment progress

Download the full case to see the treatment results, the conclusion and get more details on the solution

To download this report, you agree to subscribe to the Angel Aligner newsletter. You can unsubscribe at any time in your settings centre.