
Angel Aligner PRO: Correction of a class II malocclusion with upper distalization using the A8 protocol and asymmetric virtual jump
By Dr. Romina Vignolo Lobato
Dr. Romina Vignolo Lobato obtained her Dentistry degree from Complutense University of Madrid and her Master’s in Orthodontics and Dentomaxillary Orthopedics from Southern Mississippi University. Additionally, she has completed specialized training in areas such as Posturology and Podoposturology at the University of Barcelona, and Orthognathic Surgery at Alcalá de Henares University and Ramón y Cajal Hospital. Dr. Vignolo Lobato is also certified in Clinical Dental Care for Disabled Children by Complutense University of Madrid and is a specialist in Occlusion, Dysfunction, and Oral Rehabilitation, certified by the San Pablo CEU University Foundation in Madrid. Since 2006, she has taught in Postgraduate Orthodontics Programs at prestigious universities such as Alfonso X el Sabio University, European University, and San Pablo CEU University. She is an active member of several professional organizations, including SEDO, EAS, and EOS, where she stays updated with the latest innovative orthodontic techniques. Dr. Vignolo Lobato is a pioneer in early treatment and the use of aligners in children and adolescents. She regularly shares her knowledge and experience through courses and conferences, both nationally and internationally. Currently, she serves as the Director of the Expert Program in Neuro-Occlusal Rehabilitation, Minimal Intervention Orthodontics, and Aligners in Growing Patients at Southern Mississippi University – Madrid. In this role, she leads the development and implementation of innovative treatment strategies, focusing on minimal intervention orthodontics and the use of aligners for growing patients, always ensuring clinical and educational excellence.
Patient introduction
Age: 12
Gender: Female
Patient initials: CGR
Treatment time: 11 months
Number of aligners: 30
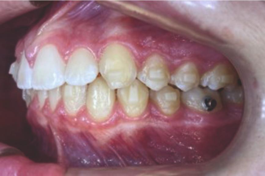
Chief complaint: We present the case of a 12-year-old female patient who came for an orthodontic evaluation, motivated by a family history of treatment. Clinical and radiographic analysis revealed a skeletal Class II malocclusion with molar and canine relationships also in Class II, moderate crowding in both arches, a deviation of the dental midline, and ectopic eruption of tooth 13. No functional issues with breathing or swallowing were observed, and oral health was generally good. A slight mandibular retrusion was noted in the soft tissue profile. A treatment plan was proposed using the Angel Aligner Pro system, aiming to correct dental misalignments and improve facial harmony through a minimally invasive, growth-adapted approach.
Section Class II division 1 malocclusion
Product Pro
Malocclusion Skeletal Class II, Molar and Canine Class II
Protocoles and features A8 Molar distalization
Initial Photos and datas












Clinical examination and diagnosis
- Woman ; 12/3 years
- Skeletal Class II
- Molar and canine Class II
- Upper and lower dentoalveolar compression
- Increased overjet and overbite
- Upper midline deviated 0,5 mm to the right
- Moderate upper and lower crowding
Treatment plan
We approached the case by combining upper distalization using the A8 protocol with an asymmetric virtual jump. In this way, we solved the crowding without proinclining the incisors and improved the anteroposterior relationship through the use of elastics. In the lower arch, we carry out a development of the posterior sectors prior to the resolution of the crowding, in order to avoid roundtripping and excessive IPR of the incisors. To achieve an effective extrusion and distalization of 13, we combine the use of direct bonding button on vestibular of 13, with angelButton elastics mesial and distal to the canine. These mechanics help to ensure that the extrusion is real and that the aligner always remains adapted.
Treatment details
In the upper arch, the main goal will be to correct the Class II malocclusion by distalizing the upper posterior teeth in order to resolve crowding without proinclining the incisors. This movement will be accompanied by an asymmetric “bite jump” of 1 mm, which will help improve the skeletal Class II discrepancy, promoting mandibular projection, especially considering that the patient is still in the growth phase. Additionally, bilateral and symmetric expansion will be planned until a torque of 0° is achieved, allowing for proper transverse alignment and greater stability of the final result. Lingual button cutouts will be placed on teeth 14 and 24 to facilitate the required movements. To optimize control and retention, vertical mesial beveled attachments, as large as possible, will be placed on the premolars and molars, as well as on teeth 12 and 22, reinforcing the mechanics in the anterior sector. The inclination of the central incisors 11 and 21 will be corrected according to the visual reference provided in the clinical image. Furthermore, it will be necessary to center the upper midline by shifting it 0.5 mm to the left to achieve greater aesthetic symmetry. As for the lower arch, treatment will begin with a phase of expansion and derotation of the posterior teeth, which will set the stage for subsequent movements in the anterior sector. Once this goal is achieved, alignment of the teeth from canine to canine will proceed, aiming to minimize anterior interproximal reduction (IPR) and avoid unnecessary round- tripping movements of the incisors. Vestibular button cutouts will be made on teeth 36 and 46, while teeth 37 and 47 will have horizontal attachments that will serve as anchorage to ensure stability during treatment.
Treatment setup





Treatment progress













Download the full case to see the treatment results, the conclusion and get more details on the solution
To download this report, you agree to subscribe to the Angel Aligner newsletter. You can unsubscribe at any time in your settings centre.