![Revenaz white[79]](https://www.angelaligner.com/wp-content/uploads/2026/03/Revenaz-white79-e1772705276611.jpg)
Angel Aligner KiD: Alinhadores Transparentes para Tratamento Ortodôntico Intercetivo
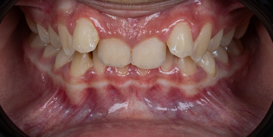
Dra. Mercedes Revenaz
Este caso, realizado pela Dra. Mercedes Revenaz, apresenta o tratamento interceptivo de um paciente de 8 anos em dentição mista, com apinhamento dentoalveolar em ambas as arcadas, discrepância transversal, mordida cruzada anterior e desvio da linha média. Utilizando o sistema Angel Aligner KID, o tratamento concentrou-se na correção precoce das discrepâncias oclusais através da expansão das arcadas, coordenação entre ambas as arcadas e controlo preciso do movimento dentário e radicular. A fase inicial incluiu 20 alinhadores, seguida por uma fase de refinamento com 10 alinhadores para otimizar o alinhamento e a oclusão. Esta abordagem proativa e minimamente invasiva favoreceu um desenvolvimento dentofacial adequado, oferecendo ao mesmo tempo uma solução confortável e estética que incentivou a adesão do paciente e uma experiência de tratamento positiva.



Correção da Má oclusão de Classe II Divisão 2 em pacientes em crescimento utilizando o Avanço Mandibular A6
Dra. Isabel Flores Allen
Um paciente de 13 anos com má oclusão Classe II Divisão 2 e mordida profunda foi tratado com o Angel Aligner A6 Mandibular Advancement. O protocolo combinou avanço mandibular, expansão do arco, intrusão dos incisivos e refinamento com elásticos Classe II, alcançando correção funcional da mordida e melhoria da estética do sorriso em 10 meses.



Angel Aligner PRO: Correção de má oclusão classe II com distalização superior utilizando o protocolo A8 e salto virtual assimétrico
Dra. Romina Vignolo Lobato
Este caso, liderado pela Dra. Romina Vignolo Lobato, mostra o tratamento de uma paciente de 12 anos com má oclusão de Classe II. Utilizando o sistema Angel Aligner Pro com o protocolo A8 e um salto virtual assimétrico, o tratamento alcançou a resolução do apinhamento, a correção da mordida e a melhoria do perfil facial em apenas 11 meses com 30 alinhadores. A abordagem minimamente invasiva combinou eficiência com controlo preciso, proporcionando resultados funcionais e estéticos.



Correção da retrusão mandibular em pacientes em crescimento com avanço mandibular A6
Dr. Giacomo Scuzzo
Este caso mostra uma abordagem inovadora para a correção da retrusão do maxilar inferior em pacientes em crescimento, utilizando o Angel Aligner A6. O sistema combina o tratamento ortopédico e ortodôntico num único protocolo, permitindo o avanço simultâneo do maxilar inferior e o alinhamento dos dentes. Com planeamento digital e alinhadores estéticos, o tratamento é eficaz e confortável para o paciente. Este caso foi tratado pelo Dr. Giacomo Scuzzo



Angel Aligner PRO: Correção de má oclusão de classe III com distalização de molar inferior
Dr. David González Zamora
O Dr. David González Zamora tratou com sucesso uma paciente de 19 anos com má oclusão de Classe III esquelética e dentária, utilizando o Angel Aligner Pro. O tratamento de 13 meses envolveu a distalização dos molares inferiores, a correção da mordida cruzada e o alinhamento da raiz dos caninos inferiores – concluído em 39 alinhadores sem refinamentos. O sistema “7+3” de material duplo assegurou um controlo preciso e resultados eficientes.

