
Correção da Má oclusão de Classe II Divisão 2 em pacientes em crescimento utilizando o Avanço Mandibular A6
Dra. Isabel Flores Allen
BIO Isabel Flores Allen
A Dra. Isabel Flores Allen é licenciada em Medicina Dentária, com formação pós-graduada e especialização em Ortodontia pela Universidade CESPU (Portugal). Concluiu residência clínica em Ortodontia na Universidade de Michigan (EUA). É professora convidada nos programas de pós-graduação em Ortodontia Clínica e Introdução à Ortodontia na CESPU. A Dra. Flores Allen é ainda CEO e Diretora Clínica da Clínica IFA em Portugal e possui licença DHA em Ortodontia, exercendo também a sua atividade no Dubai. Foi presidente da Sociedade Portuguesa de Alinhadores Dentários de 2018 a 2025, atuou como palestrante da Invisalign entre 2017 e 2023 e é líder de opinião da Angel Aligner desde 2024. A Dra. Flores Allen participa ativamente em congressos internacionais, cursos e grupos de estudo.
Paciente Introdução
Idade: 13 anos
Género: Masculino
Tempo de tratamento: 10 meses
Número de alinhadores: 45
Queixa principal: As principais preocupações do paciente eram o sorriso gengival associado a uma mordida profunda e o espaço limitado disponível para o alinhamento anterior. O paciente também manifestou insatisfação com a posição dos incisivos laterais superiores, descrevendo-os como estando “demasiado altos.”
Secção Má oclusão de Classe II divisão 2
Produto Select Unlimited
Má oclusão Classe II divisão 2 com mordida profunda
Protocolos e características A6 Avanço mandibular
Fotos iniciais e dados clínicos
Exame clínico e diagnóstico
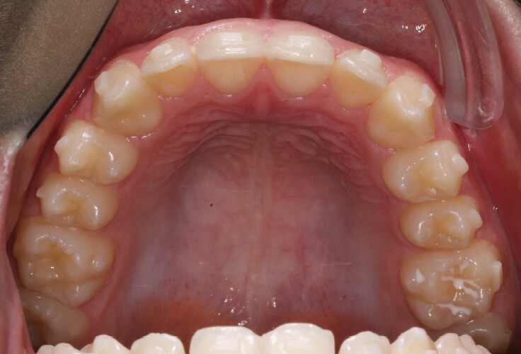
EXAME CLÍNICO:
Um paciente do sexo masculino, com 13 anos de idade, apresentou-se com uma mordida profunda, caracterizada pela cobertura quase completa dos incisivos mandibulares. A avaliação clínica revelou apinhamento em ambas as arcadas, rotações dentárias e proclinação dos incisivos laterais superiores, contribuindo para as preocupações estéticas do paciente. O perfil facial era retrusivo, consistente com retrognatismo mandibular, e não foram detectadas anomalias periodontais significativas.
DIAGNÓSTICO:
O paciente apresentava uma relação esquelética de Classe II com molares e caninos bilaterais em Classe II e um padrão dentário de Classe II divisão 2. A mordida profunda estava associada a um apinhamento anteroinferior e a uma curva de Spee acentuada. A análise facial revelou boa simetria, um terço facial inferior ligeiramente aumentado e um perfil convexo caracterizado por retrusão mandibular e do mento. A competência labial estava ligeiramente reduzida, com diminuição do ângulo nasolabial e leve tensão do músculo mentoniano, fatores que comprometiam a harmonia facial global.
Plano de tratamento
O tratamento seguiu o protocolo de avanço mandibular Angel Aligner A6, com o objetivo principal de alcançar a correção precoce da discrepância sagital enquanto abordava simultaneamente o alinhamento dentário e a coordenação transversal.
O plano de tratamento incluiu:
- Início do avanço mandibular a partir do 4.º alinhador utilizando blocos de avanço mandibular;
- Expansão da arcada para resolver o apinhamento e melhorar a coordenação transversal;
- Redução interproximal seletiva na região anterior mandibular para criar espaço e controlar a inclinação dos incisivos;
- Intrusão programada dos incisivos centrais superiores para reduzir a exposição gengival e corrigir o sorriso gengival;
- Intrusão dos incisivos e caninos mandibulares para nivelar a Curva de Spee;
- Utilização de elásticos de Classe II com Angel Buttons durante a fase de refinamento, para reforçar a mecânica sagital, introduzidos na fase de alinhadores adicionais.
Detalhes do tratamento
O tratamento foi realizado utilizando alinhadores transparentes Angel Aligner, com estrita observância dos limites biológicos periodontais. Tanto a intrusão dos incisivos superiores quanto a expansão transversal foram cuidadosamente monotorizadas durante todo o processo para evitar qualquer comprometimento periodontal. O avanço mandibular foi iniciado diretamente a partir do 4.º alinhador, utilizando blocos de avanço, eliminando a necessidade de uma fase preliminar de pré-avanço. O paciente encontrava- se no estágio CS3 da maturação das vértebras cervicais, correspondente ao surto de crescimento pubertário, um período biologicamente favorável para o desenvolvimento condilar e adaptação esquelética. Foram utilizados um total de 35 alinhadores com blocos de avanço, seguidos por 10 alinhadores adicionais incorporando elásticos de Classe II nos Angel Buttons para finalizar rotações e alinhamento. Com trocas semanais dos alinhadores, a duração total do tratamento foi de aproximadamente 45 semanas (10 meses), em conformidade com o tempo biológico esperado para a remodelação condilar. Para a intrusão anterior mandibular, o Protocolo Frog combinado com a redução interproximal (IPR) permitiu o nivelamento completo da Curva de Spee.
Set up do tratamento
Progressão do tratamento
Descarregue o caso completo para ver os resultados do tratamento, a conclusão e obter mais pormenores sobre a solução
Para descarregar este relatório, concorda em subscrever a newsletter do Angel Aligner. Pode anular a subscrição a qualquer momento no seu centro de definições.




























